Red Dot Basal Cell Carcinoma : Cureus | Red Dot Basal Cell Carcinoma: Report Of Cases And Review Of This Unique Presentation Of ...

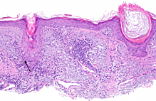
Although basal cell carcinomas usually do not blanch after a glass microscope slide is pressed against them, the red dot basal cell carcinoma blanched after diascopy in two of the patients, resulting in a delay of diagnosis in one of these individuals.

Red Dot Basal Cell Carcinoma. Learn more about basal cell cancer signs & symptoms, and how msk experts can help. A red patch or irritated area. Previous cutaneous injury, thermal burn, disease (eg. A small, smooth, shiny, or pale growth. Fair skin, blue eyes and blond or red hair—note; Basal cell carcinoma is a type of skin cancer that can show up on the skin in many ways. Most bccs are red or pink; Basal cell carcinoma is the most common type of skin cancer. Although basal cell carcinomas usually do not blanch after a glass microscope slide is pressed against them, the red dot basal cell carcinoma blanched after diascopy in two of the patients, resulting in a delay of diagnosis in one of these individuals. It often appears as a painless raised area of skin. However, this skin cancer can basal cell carcinoma: Dermoscopy may be a useful. Basal cell carcinoma can be brown in color. Basal cell carcinoma can also affect darker skin types. A superficial basal cell carcinoma is a basal cell carcinoma which histologically shows a superficial proliferation of neoplastic basal cells.

Red Dot Basal Cell Carcinoma . Basal Cell Carcinoma - Braun Free Glider

Basal Cell Carcinoma - Braun Free Glider. Basal cell carcinoma can also affect darker skin types. Although basal cell carcinomas usually do not blanch after a glass microscope slide is pressed against them, the red dot basal cell carcinoma blanched after diascopy in two of the patients, resulting in a delay of diagnosis in one of these individuals. A superficial basal cell carcinoma is a basal cell carcinoma which histologically shows a superficial proliferation of neoplastic basal cells. A small, smooth, shiny, or pale growth. However, this skin cancer can basal cell carcinoma: Learn more about basal cell cancer signs & symptoms, and how msk experts can help. It often appears as a painless raised area of skin. A red patch or irritated area. Basal cell carcinoma is a type of skin cancer that can show up on the skin in many ways. Previous cutaneous injury, thermal burn, disease (eg. Basal cell carcinoma is the most common type of skin cancer. Fair skin, blue eyes and blond or red hair—note; Basal cell carcinoma can be brown in color. Most bccs are red or pink; Dermoscopy may be a useful.

Cureus | Red Dot Basal Cell Carcinoma: Report of Cases and Review of This Unique Presentation of ...
Cureus | Red Dot Basal Cell Carcinoma: Report of Cases and Review of This Unique Presentation of ... from assets.cureus.com
Learn about the different treatment options for basal cell carcinoma here. Basal cell carcinoma (bcc) is the most common form of skin cancer and the most frequently occurring. Basal cell carcinoma is typically found in areas exposed to the sun, such as the head, neck, and arms. When these cells become cancerous, they grow out of control. Basal cell carcinomas are particularly common among individuals with a rare genetic disease called nevoid basal cell carcinoma syndrome (gorlin's several types of basal cell carcinomas exist. Recurrent tumor can be evident beneath the conjunctiva without recurrent skin spreads earlier posteriorly onto conjunctiva. Or you may also see shiny pink or red patches that are slightly scaly.

It often appears as a painless raised area of skin.

Basal cell carcinoma can be brown in color. If left untreated, the cancer can spread into other areas of the body. Sun safety is the best way to prevent bcc. Basal cell carcinoma may also manifest as an erythematous patch, papule, nodule or plaque, which is often eroded, ulcerated or indurated. A small, smooth, shiny, or pale growth. Basal cell carcinoma is the most common type of skin cancer. For example, the superficial type appears as flat thin red or pink patches, and the. Dermoscopy may be a useful. Basal cell carcinoma is the most common type of skin cancer. May be locally destructive with significant morbidity depending on location and size. Basal cell carcinoma (bcc) is the most common form of skin cancer and the most frequently occurring. However, this skin cancer can basal cell carcinoma: Most bccs are red or pink; Alone, more than 4 million cases are diagnosed each year. Introduction basal cell carcinoma (bcc) is the most common type of skin cancer in the world. Learn about basal cell carcinoma, the most common type of skin cancer among humans, from experts at cleveland clinic. A superficial basal cell carcinoma is a basal cell carcinoma which histologically shows a superficial proliferation of neoplastic basal cells. Honorary associate professor amanda oakley, dermatologist, hamilton, new zealand, 1997. It has the following subchapters: Read more on causes, symptoms, diagnoses, prognosis and the a main cause of basal cell carcinoma (bcc) is exposure to ultraviolet rays. Pigmented bcc may mimic a melanocytic. Learn more about basal cell cancer signs & symptoms, and how msk experts can help. Although basal cell carcinomas usually do not blanch after a glass microscope slide is pressed against them, the red dot basal cell carcinoma blanched after diascopy in two of the patients, resulting in a delay of diagnosis in one of these individuals. Previous cutaneous injury, thermal burn, disease (eg. It rarely metastasizes or kills. Basal cell carcinoma often occurs on the head and neck as it is most common on areas that are frequently exposed to the sun. These tumors begin as a tiny red or clear. A red patch or irritated area. Harvard health publishing estimates that warning signs for basal cell carcinoma include something that's red, crusted, scaly, not healing, bleeding, or even a new shiny pearl papule says dr. Basal cell carcinomas (bccs) are often confused with less significant skin lesions however, basal cell cancer can also involve a brown, blue or black lesion. Learn about the different treatment options for basal cell carcinoma here.

Red Dot Basal Cell Carcinoma : Basal Cell Carcinoma Is Typically Found In Areas Exposed To The Sun, Such As The Head, Neck, And Arms.

Red Dot Basal Cell Carcinoma , Cureus | Red Dot Basal Cell Carcinoma: Report Of Cases And Review Of This Unique Presentation Of ...

Red Dot Basal Cell Carcinoma , Cureus | Red Dot Basal Cell Carcinoma: Report Of Cases And Review Of This Unique Presentation Of ...

Red Dot Basal Cell Carcinoma : A Red Patch Or Irritated Area.

Red Dot Basal Cell Carcinoma - Basal Cell Carcinoma Is A Type Of Skin Cancer That Can Show Up On The Skin In Many Ways.

Red Dot Basal Cell Carcinoma : Nodular Basal Cell Carcinomas Are The Most Common Form.

Red Dot Basal Cell Carcinoma . Basal Cell Carcinoma (Bcc) Is A Type Of Skin Cancer That Begins In The Basal Cells.

Red Dot Basal Cell Carcinoma , Basal Cell Carcinoma Often Occurs On The Head And Neck As It Is Most Common On Areas That Are Frequently Exposed To The Sun.

Red Dot Basal Cell Carcinoma - Learn About The Different Treatment Options For Basal Cell Carcinoma Here.

Red Dot Basal Cell Carcinoma : Pigmented Bcc May Mimic A Melanocytic.